GENORAY 3D CBCT
Excellent Image Quality
Enhanced Image Processing
Easy to use System
Product Specification
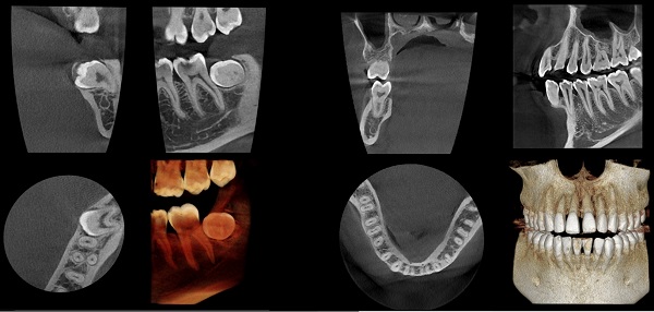
With various scan modes of Panoramic, CT and Cephalometric*, assist in accurate diagnosis.
FOVs of various sizes/resolutions
Take optimized images with minimal radiation exposure.
Fast scan time reduces image distortion
due to patient movement, and minimizes
patient exposure with low dose.
Minimize the affects of Metal artifact to prevent deterioration of image quality by prosthesis to provide optimal images.
According to the scanning areas, the system
will automatically adjust the chinrest and
help more accurate positioning.
By converting the acquired CT images to STL format, they can be used to
design and manufacture dental prosthetic digital models.
Integrated solution with Genoray Dental Software THEIA, TRIANA
Great diagnostic imaging with years of experience and know-how.
